Selbstheilung mit Synergetik Therapie
 

Diese Innenweltreise dient der Dokumentation der Grundlagenforschung der Wirkungsweise zur Psychobionik und stellt keine Werbemassnahme da, sondern dient der Informationsaufklärung des kritischen Verbrauchers. Alle verwendeten Krankheitsbegriffe sind laienhaft gemeint und wurden entweder von einem Arzt oder Heilpraktiker gestellt und vom Klienten mitgeteilt. Für die Arbeit des Synergetik-Profiler spielen Krankheitsbilder prinzipiell keine Rolle.

Zusammenfassung der Innenweltreise zum besseren Verständnis für den informationsbereiten und mündigen Bürger:

Brustkrebs

Ein Selbstheilungsweg in Synergetik Therapie

Therapeutin:

Brigitte Schiechel-Barattin
Synergetik Therapeutin
Dipl.Soz.päd.
NLP-Praktitioner

Dieses Beispiel zeigt sehr schön auf, daß es oft eine letzte Chance in letzter Minute gibt und das man nicht dem Schicksal hilflos ausgeliefert ist. Denn Schicksal bedeutet, die eigene Verantwortung verleugnen, sich selbst zum Opfer machen und die Verantwortung an Andere abgeben. Natürlich muß man immer die Konsequenzen tragen, so oder so.

Die Sichtweise, Symptome zu bekämpfen, ist weit verbreitet, doch jeder gute Arzt weiß, daß man damit nicht die Ursache des Krebses auflöst. Und jeder ist halt selbst für seine Seele zuständig. Schön, daß es dann Menschen wie Brigitte Schiechel gibt, die mutig genug sind, eine Klientin sofort in ihre tiefsten Tiefen zu begleiten, obwohl sie sich selbst noch in der Grundausbildung befindet. Es zählt halt immer authentischer persönlicher Einsatz und ein mutiges Herz. Das „Dankeschön“ kann nicht schöner ausfallen, wenn dann dieses Ergebnis als Geschenk dabei herauskommt: ein Mensch erhält zu seiner seelischen Heilung noch seine körperliche Unversehrtheit.

Bernd Joschko

Innerhalb von 2 Tagen wächst dieser große Knoten in der linken Brust der Klientin. Der Prof. will die Brust abnehmen. Die Klientin aber nutzt die kurze Zeit bis zum OP-Termin zur Selbstheilung und läßt sich von Brigitte mit 6 Synergetik Therapie Sitzungen helfen, den Hintergrund selbst aufzulösen. Dazu mußte es einen konkreten Auslöser mit dem Thema „Kind“ geben, der so schnell arbeitete und den Knoten produzierte. Dieser war leicht zu finden und der wirkende Kontext in der Innenwelt wurde verändert. Der Prof. staunte nicht schlecht, als er den Knoten per Ultraschallbild nicht mehr finden konnte. ... Er interessierte sich für die Synergetik Therapie und lädt Brigitte Schiechel zur Zusammenarbeit ein.

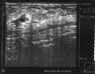
Am Montag kam eine Freundin zu mir, sagen wir, sie heißt Marga (40 Jahre), und war ziemlich aufgelöst. Sie sagte, sie habe einen großen und schmerzhaften Knoten in der linken Brust. Sie war vor ein paar Tagen deshalb bei einer Untersuchung und der Prof. sagte, sie müsse ihn dringend, und zwar so schnell wie möglich, rausnehmen lassen, denn die Gefahr sei groß, daß er streut. Sie selbst hat auch das Gefühl, daß der Knoten bösartig ist. Sie hat das Ultraschallbild und zeigt es mir. Man sieht einen fast runden großen, dunklen Fleck mit vier grauen unscharfen Ausbuchtungen. Marga nennt sie „die vier Ecken“.

Vorher:
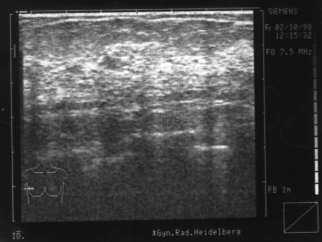
Nachher:

Sie sagt, der Knoten sei innerhalb von 2 Tagen gewachsen, das ging ganz schnell. Ich fragte sie nach dem Hintergrund - wenn da plötzlich so ein Knoten wächst, innerhalb von 2 Tagen, dann gibt es doch eine Verbindung zu einem zurückliegenden Ereignis. Sie sagte mit Tränen in den Augen, sie habe vor 4 Jahren eine Schwangerschaft abgebrochen. Und als sie vor kurzem das Baby einer Freundin 2 Stunden im Arm hatte, fing ihre Brust ganz furchtbar an zu schmerzen und wurde ganz heiß und hart und innerhalb von 2 Tagen war der große Knoten da. Und sie habe große Angst, wisse nicht, was sie tun solle, sie wolle nicht schneiden lassen.

Ich sagte, daß es nach dem, was sie mir erzählt habe, auf der Hand liege, daß der Knoten durch einen seelischen Konflikt entstanden ist und auch von daher gelöst werden muß. Ich sagte, daß ich ihr dringend raten würde, einige Synergetiksitzungen zu machen und ich überlegte, zu welchem Synergetik-Therapeuten ich sie empfehlen sollte. Aber dann spürte ich den ganz deutlichen Impuls und eine große Sicherheit, es selbst zu machen.

Ich hatte mit ihr nach der 1.Woche Grundaus-bildung schon eine Probesitzung gemacht: Sie hatte jeweils rechts und links 10 Türen. Links war hinter jeder Tür nur Dunkles, Schlechtes, Abgrund, alles Böse, aller Sumpf. Da ist sie ganz schnell wieder weg, damit wollte sie nichts zu tun haben, das war die böse Welt da draußen. Rechts war alles freundlich und hell, Licht, Jesus. Konflikte, die aufkamen, wo man ihr sehr weh getan und sie schwerst betrogen hat, wollte sie nicht angehen, sie wollte immer nur vergeben, verzeihen.

1.Session: Als Einstieg wählte ich den Gang durch die Höhle mit der Reise zum Kristall. Da sie von Höhlen fasziniert ist, ließ sie sich verleiten, in die tiefen, dunklen, engen, be-schwerlichen Gänge ihrer Seele zu kriechen, teilweise auf allen Vieren, mit zerschundenen Armen und Beinen, aber immer tiefer und tiefer hinein. Was Marga in den tiefen Gängen und weiteren Höhlen erwartete, war hochdramatisch. Eine geballte Ladung an Schmerz, Verletzungen, Erniedrigung, Schuldgefühlen. Angefangen von Mißbrauch durch verschiedene Männer in der frühen Kindheit bis zum jahrelangen Inzest mit dem geliebten Bruder, Ablehnung und ständige Erniedrigung durch den Stiefvater, Schuldzuweisung, sie habe die Män-ner verführt, durch die Mutter. „Mutti, Mutti, warum vertraust du mir nicht, ich verführe doch keine Männer, ich bin doch erst 5 Jahre alt.“

Im weiteren Verlauf die Erkenntnis, wie viele Männer sie mißbraucht haben. - Bis dann endlich etwas aufbricht und, unterstützt durch die dramatische Musik, sich erstmals etwas entlädt: „Ihr Schweine!!! Ihr Schwei-ne!!! Ihr Schweine !!!“ Es war, als ob ihre Seele nur darauf gewartet hatte, endlich einen Ausdruck zu finden. Es fließt richtig heraus aus ihr. Und sie sagt immer wieder: „Vier Ecken, vier Ecken, das sind die vier Ecken.“

Tiefe Erkenntnisse, erste Befreiung, das intensive Spüren, daß der ganze Körper von Kraft und Energie vibriert, daß alles vor Licht strahlt, und das tiefe Wissen, daß der Knoten seine Bösartigkeit verloren hat, daß er weggeht.

In dieser ganzen Session versuchte ich nur, sie behutsam weiterzuführen, ohne in die Verän-derungsarbeit zu gehen. Ich dachte, es solle erstmal abfließen, was irgend geht. Ich habe mich die ganze Zeit sehr sicher und sehr kompetent gefühlt. Ich hatte volles Vertrauen, daß es alles gut wird für sie.

Im weiteren Verlauf erkennt sie, daß sich vor 4 Jahren das Geschehen aus der Kindheit noch-mal wiederholt hat, in ähnlicher Kon-stellation, nur mit dem Unterschied, daß sie es genossen hat, begehrt zu werden. Die Erkenntnis, daß sich alles wiederholt, macht sie fassungslos. Ihre vier Ecken, die vier Ecken ihres Knotens. Und daraus resultierte dann die Schwangerschaft. Und dann die Scham, die große, große Scham - von wem ist das Kind? Und dann, als es weiterläuft, erkennt sie schockartig: „das abgetriebene Kind bin ja ich! Ich habe mich selbst abgetrieben!“ Und sie weint heftig und lange. - Und spürt, die vier Ecken am Knoten sind weg. Sie haben sich aufgelöst. Und tiefe Erleichterung ist da.

Noch etwas erkennt sie im Laufe der Session. „Ich vergewaltige mich ja ständig selbst.“

Die Session geht dem Ende entgegen, da bekommt sie starke Schmerzen im Bauch. Sie sind so stark, sie kann sie kaum aushalten. Sie redet mit dem Schmerz und der sagt, daß da ein Loch im Bauch ist. Auf die Frage nach der Herkunft des Loches, fängt ein Punkt am Hinterkopf an zu schmerzen. Jetzt weiß sie, das Loch und der Punkt haben irgend etwas miteinander zu tun und sie spürt, sie muß die beiden zusammenbringen. Und dann, das hat mir noch mal so deutlich gezeigt, wie real das ganze Geschehen der Innenwelt ist, (obwohl ich es aus den eigenen Sessions weiß) dann geht sie mit der rechten Hand an den Hinterkopf, nimmt mit Daumen und Zeigefinger einen Punkt, den ich nicht sehe, hält ihn ganz behutsam und vorsichtig und bringt ihn auf die entsprechende Stelle auf ihrem Bauch. Und das ist es, was die ganze Session rund macht. Der Punkt fühlt sich dort sehr wohl und der Bauch fühlt sich auch wohl. Nur am Hinterkopf ist jetzt ein Loch. Sie nimmt den Zeigefinger, geht damit vorsichtig an den Hinterkopf und macht das Loch zu. Jetzt fühlt sich alles so gut an. Und sie hat den Punkt so lieb und umarmt ihn. Und sie weiß, „der Punkt, das ist mein Baby, und jetzt bist du in mir und da darfst du bleiben und ich gebe dich nie mehr her.“ Musik untermalt das Geschehen und es ist eine fast heilige Stimmung. Und dann spürt sie: „Der Punkt, das bin ja ich.“ Und es ist so schön und es ist ein leises glückliches Weinen und ich weine mit.

Was weiter passiert ist folgendes. Während Marga noch ausruht, rufen Mitarbeiter aus Margas Firma an, sie solle sich undbedingt sofort in der Firma melden, es sei etwas dringendes zu erledigen. Marga ist eine tiefgäubige Frau. Sie hat vor 7 Jahren von Glaubens-geschwistern eine Firma gekauft und ist dabei ganz böse betrogen worden. Auch mit dieser Firma spiegelt sich ihr ganzes Leben wieder. Seit 7 Jahren ackert sie wie blöde, um aus dem roten Zahlen rauszukommen. Das Ehepaar O., von denen sie die Filiale gekauft hat, und besonders Frau O., haben ihr in all den Jahren das Leben zur Hölle gemacht mit Anschuldigungen, Verleumdungen etc. Sie kann sich nicht dagegen wehren, lebt ständig in der Angst, daß sie die Firma zumachen muß mit all den Millionen Schulden am Hals.

Marga ist nach der Session völlig geschafft, erschöpft. Aber sie fährt sofort in die Firma und arbeitet dort wie fast jeden Tag bis 2 Uhr nachts.

Am nächsten Tag telefonieren wir, sie hat das Gefühl, der Knoten wird kleiner. Am Tag darauf ruft sie wieder an, ganz aufgeregt, kann es noch gar nicht fassen. Frau O. die in den letzten Jahren ihr Alptraum war, ist an dem Tag als wir die Session hatten, gestorben.

Wenige Tage später die 2. Session: Sie verläuft völlig anders, nicht dramatisch, mit viel Stockungen und Zurückhaltung. Dann, wenn sie in der Innenwelt aktiv werden soll, eingreifen, sich wehren, ist sie wie gelähmt, sie kann den entscheidenden Schritt nicht tun. Plötzlich beginnt ihr linker Fuß zu stechen. Der Fuß steht auf ihr drauf und erdrückt sie fast. Das Herz ist verkrampft und sitzt nicht am rechten Fleck. Es ist fast oben an der linken Schulter. Was das Herz braucht, um an den richtigen Platz zu rutschen, ist Vertrau-en. Es müßte sich einfach fallenlassen. Im Dialog mit dem Herzen ergibt sich, daß Marga dieses Gefühl schon aus dem Mutterleib kennt. Die Mutter hatte 2 Fehl-geburten, bevor sie mit Marga schanger war. Und Marga mußte sich halten, um nicht rausgespült zu werden, sie durfte nicht loslassen.

Sie erkennt, daß sie inzwischen gewachsen ist, daß sie es geschafft hat, drin zu bleiben und nun raus will. Sie macht alles weit und flutscht ganz leicht durch. Das tut gut und siehe da, das Herz ist schon runtergerutscht, da wo es hingehört, und es ist ganz groß und weich und krampft nicht mehr.

Wir habe 4 Stunden dazu gebraucht. - Der Knoten schmerzt nicht mehr und beim Tele-fonat am nächsten Tag ist er schon wieder viel kleiner.

3.Session: Das Herz fängt wieder an zu krampfen und sie landet wieder im Mutter-leib. Dort begann das Gefühl der Unsicher-heit: „Ich muß mich halten, sonst werde ich rausgespült“. Aber da ist nichts zum Fest-halten, da ist keine Sicherheit, ganz glatte Wände. „Oh Gott, ich kann mich nicht halten. Niemand hält mich.“

Ich sage, sie soll eine göttliche Instanz rufen, die sie da gehalten hat, denn sie ist ja drin geblieben. Sie sieht Jesus, aber der hängt am Kreuz. Wie soll der in den Bauch reinkommen. Aber da sind seine Hände, ja, seine Hände, die halten sie fest und zwar so, daß es nicht weh tut, daß es nicht einengt, daß sie sich trotzdem bewegen kann. Das tut gut. „Nimm diese Bild ganz tief in dich auf!“ Musik unterstützt das Geschehen.

Das Herz krampft nicht mehr, aber die ganze linke Brust ist ein Loch. Das Loch ist die Hoffnungslosigkeit und drückt sich im Inne-ren von Marga im Bild von einer Folterkam-mer aus. „Mönche sind da, die foltern die Menschen. Die haben alle Kapuzen über den Köpfen.“ Marga will die Menschen befreien, tut es, fühlt sich dann aber hilflos und ohne Ziel. „Ja, ich habe immer gewartet. Ich habe gewartet, daß Jesus wiederkommt, daß alles besser wird.“ Und nach einer Weile: „Aber da ich nicht weiß, wann das ist, sollte ich etwas tun.“ Sie hat die Idee, die Folterkammer zu vernichten, räumt dann aber ein, daß sie ja nicht alle Folterkammern der Welt vernichten und alle Menschen befreien kann. Nein, sage ich, das kannst du nicht. Aber das hier ist DEINE Folterkammer. Da kannst du was machen. Was möchtest du tun?“ Sie entschließt sich, Dynamit zu nehmen und mit viel Geräuschuntermalung sprengt sie alles in die Luft. Das fühlt sich schon ganz gut an, das Loch der Hoffnungs-losigkeit ist kleiner geworden und wächst langsam zu. Ich sage „Laß mal den Zeitraffer laufen und schau mal in ein paar Monaten.“ „Ja, es ist ganz zugewachsen.“

Mit diesem Gefühl schicke ich sie in ihren inneren Bildern in ihre Firma, wo sie plötzlich an-fängt sich zu wehren und für sich einzustehen. Zum Schluß zeigt sie mir noch mal den Knoten, sie findet ihn kaum noch.

Marga ist entschlossen, sich erst bei dem Prof. zu melden, wenn der Knoten weg ist.

Und das Verrückteste ist, daß es seit der letzten Session plötzlich eine Möglichkeit für Marga zu geben scheint, die Firma ohne große Verluste an einen Investor zu verkaufen.

Ich bin ganz ergriffen, von all dem, was passiert ist und sehr dankbar, daß es diese Möglichkeit der Arbeit gibt.

Synergetik Institut

Homepage: www.synergetik.net
  Amselweg 1
35649 Bischoffen-Roßbach
Tel.: 06444 1359, 6014
Fax.: 06444 6136